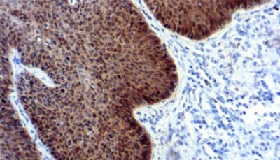
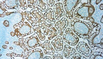
p16 is a tumor suppressor protein that is a cyclin-dependent kinase inhibitor and is essential in regulating the cell cycle. p16 overexpression is a surrogate biomarker of HPV infection (high-risk HPV types), which makes it useful in evaluating HPV-associated squamous and glandular neoplasia of the lower gynecologic trac.
Why P16:
- Infection by the human papilloma virus (HPV) is the most common sexually transmitted agent, and 80% of sexually
active women will have had HPV in their lifetime. HPV high-risk types 16 & 18 cause 70% of cervical cancer cases. - Human papilloma virus can be detected in 99.7% of women with histologically confirmed cervical cancer, affecting
some 500,000 women per year.
Cervical cancer is one of the few cancers that can be easily diagnosed in its early and well-described premalignant
stages. Since the malignant progression of HPV infected lesions takes years or even decades after HPV infection,
early HPV detection could completely prevent cervical carcinoma development.



