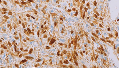
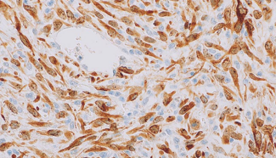
Well-differentiated liposarcoma is a malignant, non-metastasizing tumor that can present with similar histological characteristics as benign lipoma lesions and has a higher recurrence rate. Advanced immunohistochemistry staining can be performed to help distinguish the well-differentiated liposarcoma (atypical lipomatous tumor) from lipoma.
The CDK4 protein is frequently overexpressed in well-differentiated liposarcoma and is rarely observed in lipomas. Likewise, anti-MDM2 has been demonstrated to be useful in distinguishing between these, with the neoplastic cells positive in the former lesion and negative in lipoma.
Due to the protein expression differences between these lesions, both soft tissue markers are useful in an immunohistochemistry grid to aid in the differential diagnosis between well-differentiated liposarcoma and lipoma.

